Wednesday, May 18, 2011

Cosmetic Dentist Derry

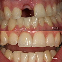
Cosmetic Dentist Derry Photos

A/WEAR LTD
Derry. 4/6/1992. ten pin bowling centre. brunswik ltd. t/a supervalu. 2/6 lisburn street. cosmetic company. clinton cards plc. the crystal building. langston road. loughton. 1g1o 3th. dentist. craig robert & sons (merchants) ltd. 76 old portglenone road. ahoghill. co antrim. ... Doc Retrieval

Cosmetic Dentist Derry Photos


Powered by Crystal Licence No Licensee name Building Name Building No Street Name Locality Town County ... Doc Viewer

Cosmetic Dentist Derry

Primary Preventive Dentistry - 6th Ed
Benefits to the Dentist Possibly the first benefit of preventive dentistry is the fulfillment of the moral commitment to the Hippocratic Oath that was taken by health professionals at graduation "to render help to those in need, and to do no harm." ... Access Full Source

Images of Cosmetic Dentist Derry

STATE OF CALIFORNIA -- STATE AND CONSUMER SERVICES AGENCY ...
Dentist, podiatrist or chiropractor. In 1979 (AB 1391 - Stats. 1979, Drug and Cosmetic Law from using an instrument or device which is considered by FDB to be a "new device." DERRY KNIGHT. Deputy Director. Legal Affairs. By DONALD CHANG. Staff Counsel. ... Return Doc

Cosmetic Dentist Derry

Fully Insured & LABORATORY 24 Hour Service Lower Food Prices ...
Dentist Brampton Dental Care 10 Kennedy Road South (at Queen) Tel. (905) 796-8838 185 Derry Rd. W. Mississauga Traditional GENERAL, COSMETIC DENTISTRY, ORAL SURGERY, IMPLANTS & ORTHODONTICS We Welcome new smiles ... Read More

Photos of Cosmetic Dentist Derry

State Health Licensing Boards Release Actions
Of Gallitzin, Cambria County, was automatically suspended for violations of the Controlled Substance, Drug, Device and Cosmetic Act. (5/31/02) Michael S. Ayes, license administering and dispensing medications by a dentist. Ronald A. Zsembik, license no. DS-018230-L, of Derry, ... View Full Source

Pictures of Cosmetic Dentist Derry


Sheet3 Sheet2 Sheet1 First Name Last Name Work phone area code Work phone number Company city Company state Company postal code Company country Company Title ... Read Here

Images of Cosmetic Dentist Derry


22 Butler R Max dentist 22.00 West Hull Street 4.00 Butler Max f 2.00 resident dentist cd 1960.00 Hull Street Haley Harter 38100.00 2 Butler Irene Mrs AAD2-9353 321.00 Barnard Street 2.00 AD2-9353 Butler Irene Mrs cd 1960.00 Renee Hutter 38209.00 347 East Broad Street Butler Lonie maid cd ... Return Doc

Pictures of Cosmetic Dentist Derry

Www.rqia.org.uk
Calla Dental and Cosmetic Clinic 14 Railway Street BT28 1XG 028 9266 3185 Mr Paul McClarty David Smyth Dentist Limted David T Neill BDS Dental Surgery 269 Newtownards Road BT4 1AF Rosconnor Clinic Derry LisLinn Healthy Living Centre Central Drive, Creggan BT48 9QG 028 2766 2145 ... Read Content

Images of Cosmetic Dentist Derry

Med.psu.edu
Derry Presbyterian Church children play waiting area, Invisalign and Cosmetic Dentistry - www.kleinfamilydentistry.com General/Cosmetic 475 West Governor Road Hershey - Located at the Blue Barn on 322. General dentistry - wonderful dentist for both children and adults ... Read Here

Cosmetic Dentist Derry Pictures

Open Offices / Consultorios Abiertos January / Enero 2012
Centre for cosmetic dentistry 275 wilmington w chester pik, 19317‑9077 (610) 459‑5002 f/t 1 (sp) affordable aesthetic dentist 3213 nazareth rd ste 2, 18045‑2000 (610) 438‑8222 4707 derry st, 17111‑2614 (717) 564‑3698 f/t 1 havertown #2p2101 ... Fetch Full Source

Photos of Cosmetic Dentist Derry

& LABORATORY Lower Food Prices DR. LOIDA M. CORONEL St ...
General & Cosmetic Dentistry LASER GUM TREATMENT 550 Queen St. West, Suite #1 Brampton, ON L6X 3E1 Dentist Brampton Dental Care 10 Kennedy Road South (at Queen) Tel. (905) 796-8838 185 Derry Rd. W. Mississauga Peter L.T. Rickards B.Sc. (Econ) Barrister, ... Read Here

Photos of Cosmetic Dentist Derry

GDC Gazette
Derry, Glasgow and Llandudno Visit www.gdc-uk.org for dates, venues, of non-surgical cosmetic procedures such as the prescription or administration of Botox Dentist Dental Care Professional Register group Our progress in 2010, ... Document Viewer

Pictures of Cosmetic Dentist Derry


Sugar martin s dds dentist ofc 25 old farm rd shrewsbury 17361 7172353837 01-00714 spilkia david dds 2340 derry st 17104 7175645147 drdrmarks@aol.com 01-01312 maryellen cresseveur-reed dds cosmetic family dentistry 3140 ridge pike colonial ctr eagleville 19408 6105395885 ... Retrieve Here

Cosmetic Dentist Derry Photos

THE DIFFERENCE
Co Derry, Co Donegal, Co Down, Co Fermanagh, Co Leittrim, Co Mayo, instructions from their dentist. It is manufactured in 10% and 15% carbamide peroxide cosmetic bag offers value for money in a professional package. ... Access Full Source

No comments:

Post a Comment